4月1日、池田新院長のもとで、「平塚内科と呼吸のクリニック」がいよいよオープンしました!
初日から平塚院には40人ほどの方がご来院されました。
「駅に新しくクリニックできたから気になって来てみました」
「以前より咳が気になっていたので、診療開始を待っていました」
などと、いろいろなお声を頂きました。
初日ということもあり、幸い大きな混乱はなかったですが、やはり職員もまだ不慣れな点が多くあり、多少ご不便をお掛けする場面もあったかもしれません。
当院スタッフも一日でも早く潤滑に業務を行えるように精進いたしますので、今後とも何卒よろしくお願い致します。
さて、開業初日から平塚院に導入した80列マルチスライスCTが大活躍!
診断や治療方法を決めるのに大いに役立ちました。

私たち呼吸器内科医が、長引く咳や息切れに対峙する際、肺の中の様子、すなわち「肺の写真」を見ることは欠かせません。
もちろん、どのような状況で、どのような症状が出ているかなど、症状の特徴を聞き出す「問診」や、呼吸(や心臓)の音を聴く「聴診」など、基本的な診察はとても大事です。
しかし、「肺の中で何が起きているのか」を反映する「肺の写真」を見ることは、いろいろな病気を「診断する」こと、それに、いろいろな病気を「除外する」ことに、非常に大事なツールです。
そんな「肺の写真」は、大きく分けて「レントゲン」と「CT」があります(肺の領域では「MRI」検査を行うことはそれほど多くはありません)。
今回は平塚院で新たに導入した「CT」について、「レントゲン」とはどう違うのかを含めて、少しお話をしてみましょう。
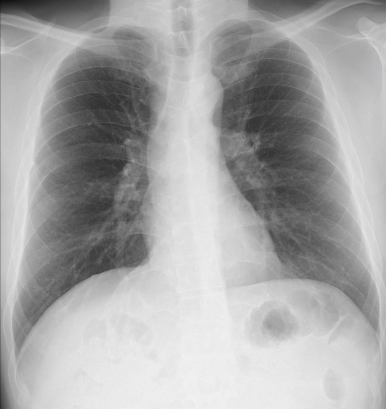
一番身近な検査「レントゲン写真」
画像検査と聞いて、皆さんが一番に思い浮かべるのは「レントゲン(胸部X線検査)写真」だと思います。
学校の健康診断や会社の人間ドックでも必ずと言っていいほど行われる、非常にポピュラーな検査です。

レントゲン検査の仕組みは、一言で言えば「影絵」と同じです。
体の後ろからX線を当てて、通り抜けてきた光を、胸側に設置したセンサーで受け取ります。
レントゲン検査では、水分や骨のようにX線を通しにくい部分は白く、空気のようにX線を通しにくい部分は黒く写ります。
呼吸器症状の診断では、レントゲン検査は「最初の窓口」として極めて重要な役割を果たします。
特別な準備もなく撮影は一瞬で終わり、放射線量も極めて少なく(日常生活で自然界から受けている放射線量と比べても無視できるほどわずか)、パッと非常に簡単に行える検査ですので、肺全体の大まかな状態を把握するのに最適だからです。
レントゲンの「メリット」と、避けられない「弱点」
レントゲン検査は非常に優れた検査ですが、しかし万能ではありません。
そこには「影絵」ゆえの限界が存在するのです。
弱点①:平面による「重なり」の問題
レントゲンは3次元の体を、2次元の「平面」として写し出します。

すると、どうしても「重なり」が生じてしまいます。
肺の前後には「肋骨」があり、中央には「心臓」や「太い血管」、下側には「横隔膜」もあります。
これらが全て1枚の画像で映るので、もし病変が心臓の裏側や横隔膜の陰に隠れてしまった場合(つまり「死角」に入ってしまった場合)、レントゲン写真ではそれらを見つけにくくなってしまうことがあります。

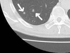
弱点②:解像度の限界
レントゲンでは、数ミリ単位の非常に小さな影や、淡い(色が薄い)影を捉えることが困難です。
初期の肺がんや、軽い肺炎、それに間質性肺炎と呼ばれる特殊な肺の病気の初期段階など、影があるけど濃くはない場合、レントゲンでは「何も異常が見えない」ことが少なくありません。

実はこの中に肺がんが写っています。レントゲンですべて見抜くのは熟練医でもかなり難しいものなのです。
「レントゲンで異常がないと言われたけれど、ずっと咳が続いている」という場合、この「死角」や「解像度の限界」に病気が隠れている可能性があるのです。
それでは「CT」とは?
そのようなレントゲンの弱点をカバーする強力な武器が「CT」です。
CTは日本語で「コンピュータ断層撮影」と呼びます。
断層撮影とは、人体の内部を「輪切り」の断面画像として撮影する技術です。
レントゲンが「影絵」なら、CTは「スイカの輪切り」のようなもので、中を細かく薄切りにしてその断面を見る検査ということになります。

CTの「仕組み」
CTの機械には、ドーナツみたいに見える「ガントリー」という部分と、そのドーナツの穴に入れる「ベッド」が備えられています。
ガントリーの中にはカメラが入っており、画像を撮影する際は、患者さんが寝ている「ベッド」がドーナツの穴に入り、患者さんの周りをカメラが高速で回転していきます。
撮影が始まるとベッドは一定の速さで手前から奥に動いていきますので、画像はあたかも「らせん」のようにX線を出しながら、体の隅々まで当たります。

そしてそのデータをコンピュータで計算することで、体の断面図を作成するのです。
これにより、レントゲンでは重なって見えなかった肺の内部を、1ミリ以下の厚さで細かく観察することが可能になります。
前後の重なりがないため、心臓の裏側も、横隔膜の陰も、まるで見透かすように確認することができるのです。
「80列CT」の「列」とは?
さて、何度もお話ししている通り、当院は「80列マルチスライスCT」を導入しています。
この「80列」というのは、ガントリーの中に入っているカメラが80個あるという意味です。
少し前まで、クリニックに導入されるのは4列CTが中心でした(そもそもクリニックでCTが導入されていることが非常に少ないのですが)。
最近は技術革新により、新しいところでは16列CTも増えているようです。
一方、当院の導入した80列CTは、通常総合病院に導入されるレベルの機器です。
80列CTの大きなメリット
ではなぜ当院が80列CTを導入したのか。
そこには、4列や16列に比べて絶大なメリットがあるからです。
80列CTでは、ガントリー内のカメラが1回転するだけで80枚の画像を撮ることができます。
4列に比べて20倍、16列に比べて5倍の画像を撮ることができます。

すると、同じ枚数を取ろうとするならば、理論上80列CTは4列に比べて20分の1、16列に比べて5分の1で済んでしまいます。
このことが患者さんに様々なメリットを産みます。
息止めの時間が短くて済む
肺を撮影する間、患者には息を止めて頂く必要があります。
呼吸をしてしまうと肺が動いてしまい、画像がぶれてしまうからです。

その息を止める時間が短くできるというところが、第一のメリットです。
そのため、ご高齢の方や息苦しさがある患者さんでも、大きな負担なく精密な検査を受けていただけます。
撮影時の負担を大幅に減らすことができるというわけです。
画像の質が上がる
次に、得られる画像の質です。
時間が短く済むので、80列CTでは、より薄く輪切りにすることが可能になります。
16列CTで1ミリ刻みで切った場合に比べ、80列CTではより細かい0.5ミリ刻みで切っても、撮影時間は5分の2で済むわけです(実際、16列CTでは肺全体を撮影するために必要な時間が約10~15秒かかる一方、80列なら約2~3秒です)。
データが増えると、その活用方法も劇的にアップします。
コンピュータに画像を処理させることで、輪切りだけではなく、きれいな縦切りの画像や3D画像まで出すこともできるようになります。
精度の高い画像は、より正確な診断につながります。
被ばく量が減る
最後に被ばく量です。
先ほどお話しをした通り、80列CTでは撮影時間が短くなります。
撮影時間が短くなると、その分被ばく量も大幅に減らすことができるのです。
実際16列CTに比べ、80列CTの被ばく量は 2分の1 ~ 3分の1に減らせます。
呼吸器診療におけるCTの価値
さて、CTを導入することで、呼吸器診療の質は劇的に向上します。
具体的にそのメリットを挙げてみましょう。
微細な変化を逃さない
CTの最大の武器は、その圧倒的な「解像度」です。
レントゲンでは判別できないような5ミリ以下の小さな影も、CTならくっきりと写し出します。

これにより、肺がんの早期発見はもちろんのこと、肺炎の種類(細菌性なのか、ウイルス性なのか、あるいは免疫の異常によるものなのかなど)を推測する大きな手がかりになります。
死角ゼロの安心感
「平面」ではなく「立体」で捉えるため、肺の隅々まで死角がありません。
また、レントゲンでは重なって見えがちな肺の表面近くにできた小さな異常や、血管に沿って広がる細かな炎症なども、それぞれしっかりと分かれて見ることができます。
レントゲンで見落とされがちなポイントを網羅的にチェックできるというわけです。
診断のスピードと確信
「何か影があるかもしれない」という不確かな状態で経過を見るのではなく、CTで「何があるのか」をその場で特定できることは、患者さんにとってはもちろん、われわれ医師にとっても大きな安心に繋がります。

適切な治療を早期に開始できるため、結果として病気の治りも早くなりやすくなります。
「経過観察」の質の向上
現在の画像を、以前の画像と精密に比較できるのもCTの強みです。
影の形が少しだけ変わった、あるいは数ミリだけ大きくなったという変化を数値化して評価できるため、治療の効果判定や病変の見極めにおいて、これ以上ない信頼できるデータとなります。
CT検査の「不安」について
CT検査に対して、いくつかの不安を感じる方もいらっしゃるでしょう。
次にそのことについて話してみましょう。
「被ばく」の不安
確かにCTはレントゲンよりも被ばく量が多い検査です。
しかし、現代のCT技術、特に最新の機器では「AIを用いた画像再構成技術」が搭載されています。
これにより、従来の半分以下の放射線量でも、非常にクリアな画像を撮ることが可能になりました。
私たちが1年間に自然界から受ける放射線量は約2.4mSv(ミリシーベルト)といわれていますが、最新の胸部低線量CTはこの数値と同じくらい、あるいはそれ以下に抑えることができます。
飛行機で東京からニューヨークを往復する際、実は宇宙から約2mSv程度の放射線を浴びといわれているので、1回のCT撮影で浴びる放射線量は、東京とニューヨークを旅行で往復する際に被ばくする量とほぼ同じ、とも言えるというわけです。

「費用」の不安
CTはレントゲンに比べて確かにやや高価ではあります(3割負担で約5000円)。
しかし、CT検査を行うことで、診断が素早く、正確に行える確率も上がります。
正しい診断にたどり着く間に失われる時間、お金を考えると、一度のCT撮影でもたらされる利益は、コストを上回ることが往々にしてあり得ます。
また、CTを撮影して「心配な病気の可能性を排除する」という安心感は、お金に代えがたいものがあります。
「安心を買うための投資」として、CT検査は非常に合理的な選択なのです。
CTを活かして、質の高い呼吸器診療を!
レントゲンにはレントゲンの良さ(手軽さ・低コスト)があり、CTにはCTの良さ(圧倒的な情報量・正確性)があります。
これらを適切に使い分けられる環境があると、呼吸器症状の診断、治療の質は劇的に上がり、患者さん一人ひとりの状態に合わせた最適な診療ができるようになります。
平塚院ではこの環境を整えたことで、従来より質の高い診療を提供できる体制を整えました。
また茅ヶ崎院に通院されている方も、その日のうちに平塚院でCT撮影、診断を行える環境となったため、茅ヶ崎院に通院されている方にも大きなメリットをもたらします(茅ヶ崎院から平塚院まではドアtoドアでおおよそ10~15分です)。
「ただの咳だと思っていたけれど、念のために撮っておいてよかった」。
私たちは、当院におかかりになった方に、そうした「万が一」を防ぎ、「安心」を提供できるようにサポートしてまいります。



