肺炎・気管支炎

呼吸器感染症は適切な薬の使用方法が、早く症状を改善できるカギになります。

また65歳以上の方はぜひ肺炎球菌、インフルエンザの予防接種を受けましょう!

どんな病気?

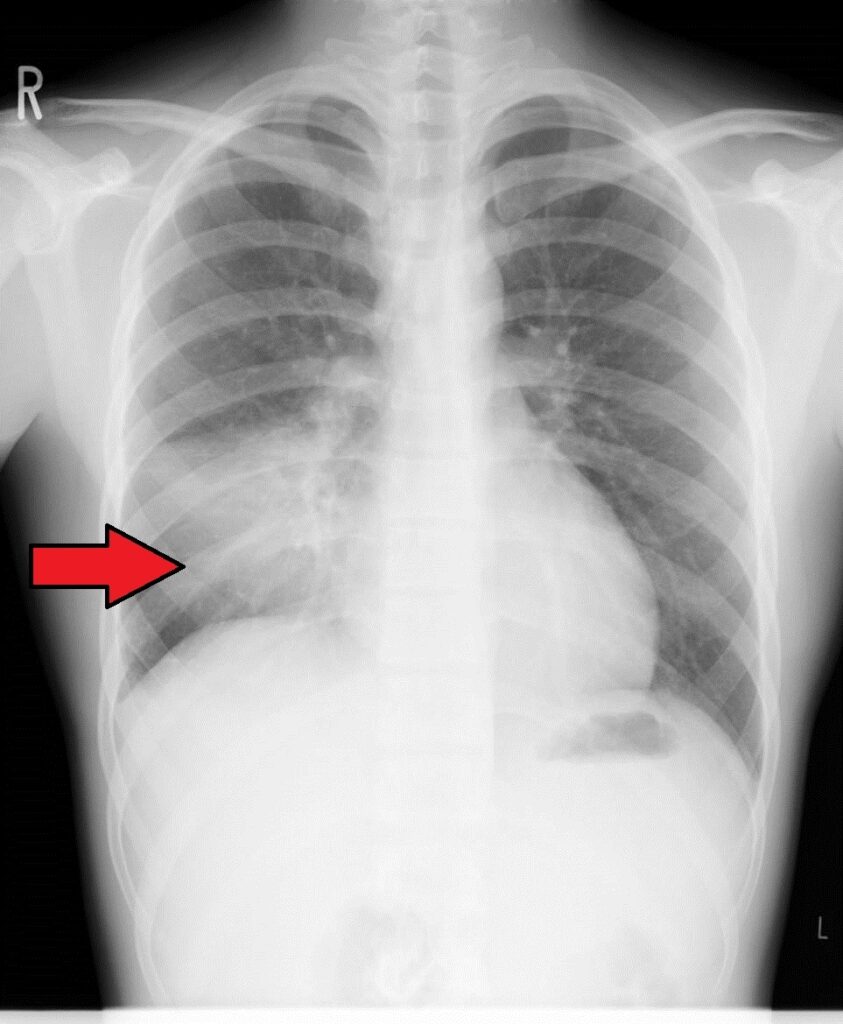
一般的な肺炎、気管支炎は、気管支やその先の肺のふくろ(肺胞)に、病原菌が届き、そこで炎症を起こしている状態です。

肺炎になるとレントゲン上でも白く影が見えてくることが多いですが、気管支炎では影が見えることはあまりありません。

気管支炎はウイルスによって、肺炎は細菌によって起こる場合が多く、まれに体力が極端に落ちていたり、肺がもともと壊れていたりするとカビによって肺炎が起こることもあります。

また感染症による肺炎の他に、間質性肺炎や膠原病による肺炎など、免疫の異常によって起こる肺炎もあります。

なお、新型コロナウイルスによる肺炎はこのタイプの肺炎が主と言われており、通常の肺炎とは違うため治療法が大きく異なります。(詳しくはこちらをどうぞ →2020.3.29 新型コロナウイルスによる肺炎とは?他の肺炎と何が違うの?

ここでは細菌、ウイルスによっておこる肺炎、気管支炎に絞ってご説明します。

どんな人がなってしまうの?

 やはり細菌性肺炎は高齢者が圧倒的に多く、65-84歳ではガン、心臓疾患、脳卒中に次いで4位、85-89歳では脳卒中を抜いて3位、さらには90歳以上では以上の死因ではガンを抜いて2位になります。なお90歳以上の男性では死因のNO.1を占めています。

高齢になると飲み込む機能も衰えるために、誤嚥性肺炎になるリスクも高くなり、これも影響するとされています。

一方マイコプラズマ肺炎などの「非定型肺炎」と呼ばれる肺炎は、むしろ若い人(子供~60歳以下)に多いと言われています。

インフルエンザ、新型コロナウイルスに関してはともに、肺炎発症による重症化は高齢者の方が多いとされています。

どんな症状が出るの?

肺炎では通常発熱が現れ、風邪にしては症状の期間が長く、またその症状が強いという経過で判明することが多いです。症状が進むと息切れや呼吸困難が現れ、酸素投与が必要となってしまうことがあり、この場合は入院して治療する必要が出てきます。

またウイルス性である場合はほとんどが気管支炎で終わり、咳、痰、発熱が軽い状態で済むということが多いのですが、時に肺炎(インフルエンザやコロナウイルスなど)になることもあります。ウイルス性肺炎は、ウイルスそのものというよりはそのウイルスと自分との闘いが激しくなることで、戦場としての肺が傷つくことで起きます。通常インフルエンザなどの一部のウイルスを除いてウイルスを直接やっつける薬はないため、酸素投与や全身管理などを行いながら戦いが落ち着くのを待つということが多く治療は非常に難しいです。

若い人に起こりやすいマイコプラズマ肺炎頑固な咳に対し痰が少ないというのが特徴になりますが、高齢者がかかりやすいその他の細菌性肺炎では、咳と痰が増えてくることが多いです。また高齢者の方は症状がはっきりとは現れず、なんとなくだるい、微熱が出る、活気がないという症状しか出ないこともあり、要注意です。

予防することはできないの?

肺炎球菌による肺炎は、高齢者の肺炎の約4割を占めるとされています。

これに対する予防接種には「ニューモバックス」と「プレベナー」との2種類が使用でき、これを両方やるほうが効果が高いとされており推奨されています。この2つの予防接種を受ける場合、6-12か月以上の間隔が必要とされています(間隔に関しては医師にご確認ください)。

「ニューモバックス」は65歳以上の方で5年おきの接種、「プレベナー」は65歳以上の方で一生に1回の接種が勧められています(2020年5月29日にプレベナーの適応として、65歳未満であっても肺炎球菌感染症の高い人 ~心疾患、肺疾患、肝疾患、腎疾患、糖尿病を持つ方など~ が追加されました)

令和3年現在、「ニューモバックス」にはその年に65.70.75.80.85.90.95歳と100歳以上に新たになる方に、初回接種時に限り市町村から助成が出ます(2回目以降は出ません)。「プレベナー」は今のところ助成制度がなく、自費のみとなります。

またインフルエンザによる二次性肺炎(インフルエンザにかかり弱ったところに他の細菌がやってきてさらなる悪さをする)も肺炎の大きな原因を占めていること、ワクチンがインフルエンザ肺炎の頻度を減らせることが示されており、毎年インフルエンザの予防注射をしっかり受けることも重要です。

また新型コロナワクチンについては臨床試験で非常に高い効果が示されており、今後接種が拡がることが期待されます(新型コロナワクチンについてはこちら →2021.2.21 いよいよ新型コロナワクチン接種開始! ~ところでコロナワクチンってどんなもの?~

誤嚥性肺炎のリスクが高い場合は、筋力維持や言語療法士によるリハビリの他に、嚥下機能に合わせた食事形態(軟菜、おかゆ、トロミ、刻み食、ミキサー食など)なども有用ですので、状態に応じて適宜適応を判断することも大事になります。

どうやって治療するの?

気管支炎の多くはウイルス感染です.ウイルス感染には抗生物質は効きません.これらは通常自然経過で改善していくことが多いものです.

その為,体力のある方がウイルス性気管支炎になった場合は症状を和らげるような対症療法(痰が出る場合は去痰薬,痰が出ない場合は咳止めなど)を行いながら,しっかり体を休めていただき症状の改善を待ちます.

一方頻度は少ないですが,細菌性気管支炎の場合は抗生物質の使用を考えます(自然にも治る可能性は高いので,絶対ではありません).

それにウィルス性でも体力の落ちた高齢の方や,慢性的な持病をお持ちの方がなった場合は,ウイルスで弱った気管支,肺に後から細菌がやってきて悪さをすることがある(二次性肺炎)ため,場合によっては抗生物質を使用することもあります.

ただし抗生物質は副作用が少なくないことと,使い過ぎることによる耐性(抗生物質が効きにくい細菌の出現,増加)のリスクが増加するため,使用すべきかどうかは慎重に考える必要があります.

また肺炎は多くの場合細菌性ですので,抗生物質を使用することが多くなります.肺炎の中には肺炎球菌などによる一般的な肺炎と,マイコプラズマ肺炎などの「非定型肺炎」では,使用すべき抗生物質が異なるため,年齢,症状,所見などで見極めをして適切に抗生物質を選択する必要があります.

インフルエンザ新型コロナウイルスにより肺炎をきたした場合は、治療が難しいこと、呼吸状態が悪化するリスクが非常に高いことから、原則的に入院による治療となります。

また,細菌性であってもウィルス性であっても,一部の漢方薬が症状の改善に大きく貢献できる場合もあり,これらを組み合わせて使用することもあります.

当院では何ができるの?

当院の医師は、多くが呼吸器専門医であり、かつインフェクションコントロールドクター(ICT)の資格をもっている医師も複数在籍しているので、呼吸器感染症に対する治療が豊富です。

患者さんから詳しくお話を伺い、診察、検査をすることで原因の予測を立て、患者さんにとって常に最適な薬剤を選択しながら治療を行うように心がけております。抗生物質が必要ないときはその理由を丁寧にご説明し、安易な抗生物質使用に頼らずとも症状を早期に和らげられるような対症療法、生活上のアドバイス、病気の見通しなどをお伝えするようにしております。

またこれらの病気には漢方もかなり有効であることがわかっており、特に治療薬のないウイルス性疾患の場合には強い味方となります。当院ではこれらも適切に使い分けて一日でも早く症状がよくなることを目指します。

2019.9.14 「風邪(かぜ)を診る」ということ
2019.10.17 「かぜ」と「抗生物質」
2020.3.29 新型コロナウイルスによる肺炎とは?他の肺炎と何が違うの?
2020.5.29 高齢者で気を付けたい、肺炎について(原因編)
2020.6.1 高齢者で気を付けたい、肺炎について(予防編)
2020.6.7 高齢者で気を付けたい、肺炎について(肺炎球菌ワクチン解説編)